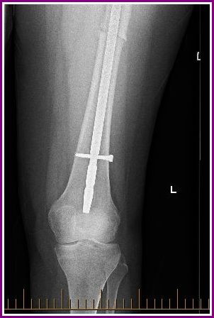
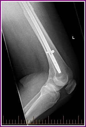
Today was my much anticipated appointment with my Orthopaedic Surgeon and it went pretty much as I expected really. My leg is still broken and it is showing minimal signs of healing but all to be expected due to the nature of the break.
He wants to see me again in 3 months, with further x rays, (not 6 months as expected) as he is a little concerned that the screw above the knee ( called the dynamic screw) may have to be removed. I literally dodged a bullet today in regards to having that kind of surgery as he could see that the screw still has some capability to move…a good thing apparently.
Oh, the other good news is that my crutches remain with me!! (Yes it is late in the evening as I type this and my humour has turned into sarcasm). Really though the good news is that I can now work harder with my Physio and start trying to walk without the dependence of the crutches during my Rehab sessions and I am sooooooo looking forward to that. It may only be for short bursts of time but it will be lovely to feel free!! At the moment I walk with a very inelegant limp so I am hoping to be able to get rid of that as the leg heals and strengthens over time.
That healing time frame by the way is still at least 18 months…but who’s counting 🙂





Oh Sam, what a great blog I love it and your humour shines through more than your sarcasm. Big hugs and lots and lots of love to you xxxx Tracey
LikeLiked by 1 person
Thanks Tracey, I really appreciate your encouragement. Hugs and love to you xxx
LikeLike