Saga by definition means, a long story of heroic achievement or, a long story full of incidents.
This story is definitely the latter, no heroics to be found I assure you.
Rewind three weeks ago and I woke up to find I couldn’t turnover in bed. I had pain in my right lower back that was as severe as any I’d experienced post major surgery. As bad, if not worse, than when my femur broke.
The throbbing was so intense it reminded me of my worst dental abscess. You know, the horrific constant throbbing, full of infection!
I knew I was in trouble. I didn’t realise just how much.
Let’s Rewind and Review
Let’s rewind to nine months ago. I was in hospital trying to deal with severe pain from my bone disease. That’s a whole other saga which can be fully appreciated by reading “A Hospital Stay To Remember”
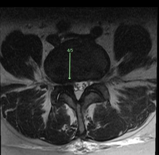
During that hospital stay I had an MRI on my lumbar spine, as I was dealing with a similar right-sided back and hip pain.
Among other issues the MRI reported:
L4/5: Disc bulge is present which causes a mild central canal stenosis. Mild
bilateral foraminal narrowing is present though there is no neural compression.
This is what mild central canal stenosis looked like on my MRI nine months ago.
So it was determined by a huge team of Specialists working on my case, my bone disease was beginning to attack my spine. I also had nerve impingement at L5/S1 reported, due to a disc protrusion. I’ve had it for 12 years so I wasn’t really factoring it into the equation.
L4 was my issue and in my heart of hearts I knew something sinister was going on courtesy of my bone disease. Central canal stenosis means it is impacting the cauda equina area and if compression of that area occurs, it’s a medical emergency.

Back To The Present
I waited 10 long days after waking up on the morning of the pain onslaught before thinking….”ok, this isn’t easing up, I better call someone”.
My first point of call was my trusty Orthopaedic Surgeon who always looks after me when I have a bone crisis.
Without hesitation he sent me for a lumbar MRI. He discounted it being my hip based on my symptoms.
Just getting to the MRI appointment was horrific. I can’t even begin to explain the pain as my husband helped me out of the car.
I later found out that with this L4 stenosis issue, sitting is the best position. Getting in and out of the sitting position and standing is excruciating. Walking is never great for me and even lying down aggravates this pain.
I quickly prayed for help to get from the car to the radiology dept. My prayers were answered. I was so looked after at the hospital with a wheelchair being brought to me as staff saw me struggling along on my walker as I passed by reception.
The scan went smoothly and I was also assisted beautifully by the caring Radiology staff. I’m pretty sure I fell asleep in the MRI. I was so grateful to be lying down, even in a tube!
The next day I received an email from my Surgeon to say my spinal cord (cauda equina) was being compressed on the right side at L4/L5.
Given my pain, I wasn’t surprised but I was concerned. Within 9 months we had gone from no neural compression to full right-sided compression.
You can see when comparing the two MRI images, where the issue is (green arrow courtesy of Radiologists).
My Orthopaedic Surgeon specialises in lower limbs so he wanted me to get assessed by a Spinal Specialist. He quickly sent a referral to one of his spinal colleagues and later that day an appointment was made for me to see this new Specialist.
The Appointment
It’s never easy seeing a new Specialist, especially when you have a complex health history. This poor guy honestly looked like a deer in the headlights.
It was all too much for both of us! I was exhausted from getting there and close to tears (not something I do in any appointment). He was trying to get his head around a rare bone disease with no name and a pathological femur fracture, let alone the fact it’s still broken 4 years on and I have constant foot fractures. I mentioned I had a permanent colostomy and I think at that point he just didn’t know what to do.
So he asked me where I worked! I laughed out loud. I really shouldn’t have but it was a ludicrous question given what we’d just been talking about. You could see he thought so too but the words had left his mouth before his brain engaged.
I simply replied, “I’m medically retired” and we moved on.
He then asked me to get up on the examination table. That would require me to step up backwards on a little block ,with no rails to assist me, and try to swing my legs around and up on the bed.
I just stood there looking at it. My legs were visibly shaking from pain and fatigue. My husband, who was observing all this, said the Specialist looked at my legs, looked at the table and quickly realised this wasn’t going to happen.
The Specialist ran to get my walker to stabilise me and asked me to take a seat. The table idea was being abandoned…thank goodness.
He really was a lovely guy, I was just not your average spinal patient. So we decided an examination with me sitting was the best option.
After much prodding and poking of my hips and legs, we began looking at the MRI scans.
He was comparing both sets and also was so surprised at how fast the deterioration had taken place. He pointed out to me that the cause of the right-sided compression is a lesion on the L4 facet joint. It wasn’t there nine months ago. He believes it is likely a bone spur and my bone disease would be the cause.
I asked him can he be more definite about it being a bone spur and he said not really. MRI’s show it as a lesion. A CT Scan will be more specific.
Where To From Here?
I was so exhausted by this stage I couldn’t think straight. He asked me if I had any questions. All I could say was, “What next?”
Turned out to be the best question as we devised a plan. My health is so complex that he doesn’t want to do surgery unless we have no other choice. I’m happy with this approach as it’s in line with the view of the rest of my medical team so….tick ✔
He decided on a diagnostic plan which includes:
- L4/L5 nerve root block injection with CT Scan
- Pain Diary for 6 days after injection
- Bone Scan 2 weeks later if pain hasn’t subsided
- Follow up appointment in 4 weeks
This will help him determine any necessary next steps at the following appointment.
Getting Further Acquainted
I’m hoping next time I see him, I’ll be in less pain and he will have his head around my very peculiar medical case. Maybe not but we will at least get better acquainted and that’s always really important.
Let’s face it, he’s joining my team. I need to build a good rapport with him and get to understand how he operates just as much as he needs to understand my disease.
That takes time and as with all good working relationships, it’s often hard work in the early days.
So this saga is far from over. The reality is it will likely become, “The Spine Tingling Chronicles”.
Watch this space for the next “spine tingling” edition.
Take care
Sam xx
The Lord says, “I will guide you along the best pathway for your life.
I will advise you and watch over you.”Psalm 32:8 (NLT)
If you’re looking for genuine support, care, understanding & friendship, you are so welcome to join my closed Facebook support forum, Medical Musings with Friends . It’s a safe place to connect with others living with chronic & complex diseases, who truly understand the daily challenges. A warm welcome awaits.
I’m also a Contributor at “The Mighty”. You can check out my published articles at My Author Page
I also write @ Blogs by Christian Women
I’m a member of the Chronic Illness Bloggers Network, the Grace Girls Facebook Group and Salt and Light Linkup Group
If you would like to read a little more about my journey, here’s the link to My Story
Please click here to read our Privacy Policy



Sam, as you know, sending warm energy and prayers. Sincerely, Marla
LikeLiked by 1 person
Thank you Marla xx
LikeLike
Wow you have had quite the saga! I am glad you have some good doctors who are keeping an eye on you sending much love your way xx
LikeLiked by 1 person
Thanks so much Beverley xx
LikeLike
Oh Sam, I am so sorry to hear this! I would click on “like”, but this is not a developement in your health that any of us like at all, though as a piece of writing I do like how well you described the whole ordeal. Believe me Sam, your saga does tell a story of a heroic sufferer. You are an inspiration to all who read your blog, and even more so, a testimony of God’s sustaining power in affliction to all who see you at the Dr’s and in hospital. Never give up! You never know who’s watching -in this world or the next! ~Tish ❤
LikeLiked by 2 people
Thanks so much for your beautiful comment and your encouragement Tish. It means so much xx
LikeLike
I forgot to add that I will continue to pray for you, Sam! That’s a given. 💖
LikeLiked by 2 people
Thank you so much. Xx
LikeLike
“I’m medically retired” – I like that, it’s a good answer to the stupid question that always gets asked, no matter how poorly we may be it seems!
I’m glad at least the newbie was nice, which makes a difference because, as you say, you have a complex history to cover and then to have such a change in scans in a short period of time it must have been a lot to get his head around, let alone for you to be experiencing. I’m glad a plan is in place and I do think that knowing as much as possible is important so you can move forward adequately knowing what’s actually going on in there. I’m just so sorry that it’s happening at all, that you’re in such pain.
I know I can’t help but I wish I could so I want you to know I’m thinking of you and sending a gentle (very gentle given the current compression issues…) hug and lots of love xxxxx
Caz
LikeLiked by 1 person
Thanks Caz. You’re so beautiful. Thinking of you too xx
LikeLiked by 1 person
I hesitated to hit ‘like’ on this post. …..not lots to like about the situation other than a new member of your medical team that may add some other ideas. I wish they could all perform home visits so you don’t have to go out and endure these agonising expeditions. Sending lots of love xx Esther
LikeLiked by 1 person
Thanks Esther xx
LikeLike
That’s really scary. I have osteoporosis, and I can’t even imagine having a bone disease that severe. Hope you feel better soon, and the injectio works!
LikeLiked by 1 person
Thanks Tessa xx
LikeLike
Sam, I’m so sorry to hear about this latest development. I’m glad to know that you have a caring medical team, even if the “new guy” is a little wet behind the ears. He sounds as if he wants to find a way to help, though. I’ll continue to pray for you.
LikeLiked by 1 person
Thanks so much Terri xx
LikeLiked by 1 person