(Warning: Some images in this blog post may be confronting)
When living with chronic illness, and particularly chronic pain, life needs a level of certainty and routine.
To a large degree, we can create workable daily routines, manage our medications and medical appointments, and keep life ticking along so we maintain our equilibrium as much as possible.
Every now and again, something happens to threaten that safe routine. Something to take you from being relatively in control to realising it’s all about to change. And there is that word, the reason for the upcoming upheaval….CHANGE!
I actually love change. Throughout my career, I worked as a change management consultant for large organisations, and I was in my element in this role.
Change doesn’t phase me. I’m trained to find solutions. I know and believe change is an opportunity, a chance to grow, to develop and learn.
Every now and again change, or unforseen circumstances can hit us in a way it’s difficult to breathe. Change so confronting it knocks the stuffing out of us and causes us to have to re-evaluate everything we thought was secure, stable, and certain.
The Revolving Door of Chronic Complex Illness
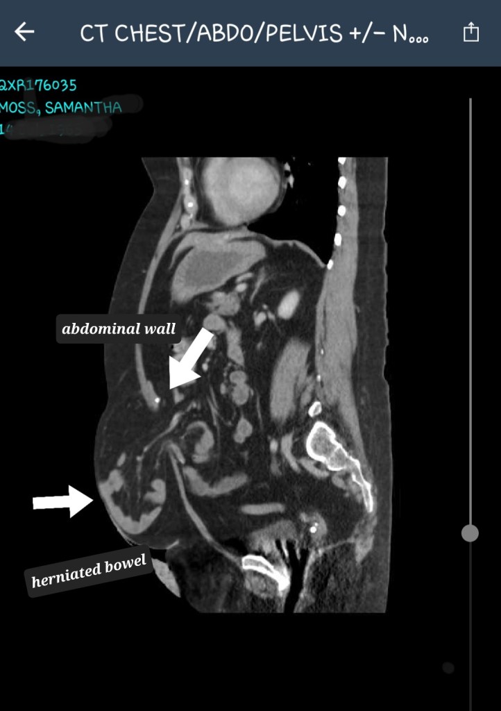
I so wish my body would stop disrupting my life. I wish it would stabilise for years rather than months. Instead, it has a relapsing remitting type of disease. A disease, no one ever really knows what name to give it. It’s actually a collection of diseases. It threatens to be cancer and is deemed to be malignant in nature, but my blood tests and scans etc, show something low grade despite severe damage to bones and organs. So an idiopathic disease is the diagnosis, although it’s made up of rheumatoid arthritis, Sjogren’s disease, non Hodgkin’s Lymphoma, osteopetrosis (rare bone disease), osteoporosis, trigeminal neuralgia, bowel prolapse, severe abdominal wall separation, adhesions disease, an unstable spine and I know I’m missing others from this list.
No matter what, it’s more than enough to deal with on a daily basis.
So you can imagine how I felt when confronted with the news my abdominal wall separation was now five cms, in the severe category, and had increased by three cms in two months!! Just crazy. I knew my latest CT scan would show something like this, especially considering I literally look eight months pregnant. However, even I found the scan images confronting, despite all I’ve been through.

The one inevitable thing in life is change, especially with chronic disease.
Australian of the Year- Taryn Brumfitt
Australian documentary director Taryn Brumfitt, leads the Body Image Movement organisation that teaches people to love and appreciate their bodies. Her 2016 documentary Embrace is available on Netflix, and it shines a light on the serious issue of women’s body loathing. Taryn shares her own path to body acceptance, which includes severe pelvic floor issues.
Looking at my scans and my own body today really makes me resonate with Taryn’s campaign. Her documentary was seen by millions of people in 190 countries, and Taryn’s work has reached more than 200 million people. She is internationally recognised and a keynote speaker.
Taryn has just been announced Australian of the Year for 2023, giving her an amazing platform to help women and men embrace and love their bodies, and the inevitable changes that we all face as we age, or have surgeries, babies, chronic diseases etc. Her platform really is all about embracing change, focusing on life, and living it in the fullest, best way we can. It’s not dissimilar to my own patient advocacy work, and my belief chronic illness is a part of our lives, not all of our lives. We are so much more.
In her acceptance speech, Taryn said something I think really captures the essence of how easily we lose sight of what’s truly important in life.
“When you take your final breath on this earth, what thoughts will be going through your mind? What will you be thinking about?
And no one has ever said to me ‘the size of their bum’.
Taryn Brumfitt- Australian of the Year Acceptance Speech
Taryn Brumfitt – Australian of The Year talks about Embracing Your Body, Embracing Change

The Circle of Chronic Disease
The whole cycle of life points to the fact that nothing lasts forever. Yet sometimes it’s the small changes in life which can cause us to crumble and feel as if it’s just all too much.
I think when this happens it’s often because there are larger life changing issues at play. Perhaps we are grappling with financial issues, relationship issues, loss of a loved one, worsening health. The list of worrisome issues, which present the need to make changes in our lives, are often complex and can eat away at us bit by bit……if we don’t address them.
So what practical steps can we take to help deal with the onslaught of unwelcome change, whatever it might be? I have a few ideas to help me through a change process so I can work towards accepting a new life chapter has arrived, whether I want it to or not!
Unexpected Small Life Changes
As with any path to accepting change, it’s always a process. I like to keep the process simple, especially when dealing with life and health complexities.
My approach to any life changing event always starts with making time to stop and think. It’s crucial to be deliberate and focused when dealing with change. So here’s the step by step process I follow. I really hope it helps you find a way to cope with your own change challenges:
- Find a quiet place to sit with a nice cuppa or favourite drink.
- Have a notebook or your phone handy to jot down your thoughts.
- Ask yourself why the relatively “small” change confronting you is making you feel so stressed?
- What else is happening in your life causing major concern? List these issues down. It’s important to acknowledge them now, even though our main focus at this stage is on our smallest issues.
- Read carefully through the major concern list you’ve just created.
- Can you do anything to start addressing some of the more “major” change issues soon? Jot down some ideas next to each item. We are trying to calm our minds and feel a sense of peace in this step, by realising we can perhaps do something about our major issues.
- Create an action plan with a timeline, starting with your smaller issues. You may not like plans, but the whole idea is they take the uncertainty out of a situation. This reduces your stress levels and helps you to think more clearly about the road ahead.
- While thinking about the changes you’re facing, deliberately include on your action plan, what positives may come as a result of the change. There are always opportunities, even when grieving the loss of a loved one, a relationship breakdown, loss of a job etc. Sometimes, we feel we can’t give ourselves permission to be happy about some of the beneficial outcomes a major life change might bring. We can, and we should. It helps us move forward.
- As you complete your action plan for the smaller issues you’ve been struggling with, ask yourself are they as bad as you first thought, especially when compared to the life changes on your “major” issues list? Or could it be you are really just overwhelmed by the larger events happening in your life?
I find once I’ve been honest with myself, by following the above process, I realise two things:
- I know there are underlying issues causing me to feel overwhelmed when little things go haywire. I recognise I need to focus my energy on resolving the major issues in my life and develop an action plan to tackle them head on.
- I realise I need to get on and deal with the smaller issues as soon as possible and reduce my stress levels. Once they are out of the way, I will have the emotional energy to address the more major stresses in my life.
Let me give you an example. My husband and I thought my health was in a stable stage, and it would be helpful to commit to having regular carers come to our home to help us with day to day tasks.
Sounds simple, doesn’t it. It turns out it’s far from simple. Most caring agencies want you to commit to 20 hours per week. This equates to someone in your home for 4 hours a day, 5 days a week.
Despite being disabled I live a full life at home with my patient advocacy work, writing, blogging, podcasting, etc. These tasks take time, and I need space and quiet to do them. I also need to lie down for an hour twice a day to manage my pain. If I miss this part of my routine, I suffer severely.
My husband and I also have a good routine to complete daily household tasks. Even my cleaner says she really has nothing to do…..although she does an amazing job, and I’d be lost without her!
However, we found an agency that was a little more flexible, even though they also insisted on a 4 hour carer visit on a Monday. I really only wanted and needed 2 hours, but we hesitantly agreed.
So, with the carer on Mondays, a registered nurse on a Wednesday plus my cleaner, the week was filling up quickly. Add in home blood tests, podiatry visits, OT visits, equipment reps/trials, videoconsults with my GP and specialists, tests, scans, xray appointments and we were beginning to drown in a life of chronic illness. The support was, in reality, further disabling me.
I was getting more and more exhausted and losing my identity as a person. I was just a patient. The things I loved to do and helped me to distract my mind from pain and disability were slipping away, and I felt trapped.
You may think a carer can just do things without disturbing the client, but in reality you have to think about what tasks they can do, give directions, spend time chatting, etc. I just don’t have enough for them to do for four hours, so I’m left feeling like I need to spend time with them when I really just need the peace and tranquillity of my home.
I know if my husband was no longer with me, I would need full-time care, but I’m not there yet, and I realised I don’t need to fast forward that scenario.
So this was a major issue, contributing to me feeling overwhelmed by my new health situation and my husband feeling like he was losing his personal space at home. A decision to make a change was needed, and we needed to change it quickly.
We decided I needed the registered nurse weekly visit. They add so much value to my care. I definitely need my cleaner, but we only need a carer for transportation assistance to appointments on an adhock basis. We need to have the ability to add in carers as my circumstances change.
With that decision made, I could feel a weight being lifted off my shoulders. I could begin to breathe and work out a plan of approach to deal with my major health issue.

Resolving The Major Issues
I’m not for one moment going to suggest resolving a major life changing issue is easy.
I do know pushing it constantly to one side is not helpful, and can cause our health issues to worsen. Stress increases pain. One thing we definitely need, when living with chronic disease, is a peaceful life as far as possible.
The process of listing your major life changing events, and jotting down ideas to begin to resolve them, is a great starting point towards managing the change process and relieving some stress.
It puts you in the driver’s seat, and begins to give you a sense of control, particularly in a situation which may be making you feel powerless.
You may need assistance from others to help fully resolve your major issues, but even acknowledging this and identifying who could help is a huge starting point. Just make sure you set boundaries.
At the end of the day, if little things are feeling like huge change events, it’s likely because more major issues are at play.
Acknowledging this does help us not to “sweat the small stuff” quite as much. Perspective is a wonderful tool to use when managing change.
Chronic disease will likely provide us with ongoing crisis situations requiring a change in mindset, disease management, or a complete lifestyle shift.
I’m going to remind myself that nothing lasts forever. Change is always inevitable.
Although it’s not strictly true. There are three things that will last forever. Three incredibly beautiful things to hold on to, no matter how much change bombards our lives…
St Paul says, “Three things will last forever: faith, hope, and love-and the greatest of these is love.”
1 Corinthians 13:13
I hope you’ll find my tips do give you back some control when change is inevitable. Remember, you might be a patient, but you are a person first and foremost. You matter, your voice matters, and your identity through the things you love to do, and can do, can’t be compromised when making changes.
Love
Sam xx

Medical Musings with Friends
If you’re looking for genuine support, care, understanding and friendship, you are so welcome to join my closed Facebook support forum, Medical Musings with Friends . It’s a safe place to connect with others living with chronic and complex diseases, who truly understand the daily challenges. A warm welcome awaits.
My Book

My book “My Medical Musings”, is published by Imaginewe Publishers and available now to purchase as a paperback or e-book.
Here are the links to online retailers if you would like to purchase the book:
If you would like an audible version of my blog, please check out my Podcast, Medical Musings With Sam
I’m also a Contributor at “The Mighty”. You can check out my published articles at My Author Page
I’m a member of the Chronic Illness Bloggers Network the Grace Girls Facebook Group and the Showered In Grace Group
Please click here to read our Privacy Policy


Oh for heaven sake Sam, that hernia looks awful. Ouch. That just looks awful I am so sorry this is happening. Sheryl and I will be in prayerful requests for the very best outcome.
LikeLike
Thanks Rick. Not the best is it and I could have done without an extra complication but we’ll get it sorted as soon as possible. I have 6 medical appointments next week so someone will come up with a plan 🤔🙄☺️
LikeLike